$('#fade').cycle();

































Parodontologie

Parodontologie
se zabývá kontrolou stavu a léčbou tkání obklopujících zuby - parodontu (závěsného aparátu zubu, přilehlé kosti a dásní).

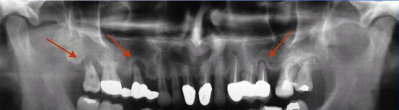
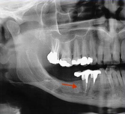
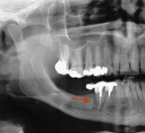
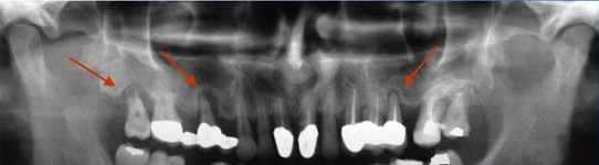
Onemocnění parodontu patří ke druhému nejčastějšímu onemocnění v dutině ústní, ihned po zubním kazu. Nejčastějším problémem je gingivitis- zánět dásní a také parodontitis - zánětlivé onemocnění postihující závěsný aparát zubů, přilehlou dáseň i kost. Mezi časné projevy gingivitidy patří krvácení dásní, které může v případě parodontitidy přejít ve tvorbu parodontálních chobotů, spojené se zápachem z úst, tvorbou hnisu, bolestmi a viklavostí zubů v důsledku ztráty kosti. Tomuto onemocnění se dá úspěšně předcházet pravidelnými kontrolami, sanací chrupu a péčí v rámci dentální hygieny.

Naše zařízení se nespecializuje na poskytování péče v oblasti parodontologie.

Spolupracujeme s odborníky v oblasti parodontologie – odb. as. MUDr. Ladislav Korábek, CSc., MBA (Stomatologická klinika 1.LF Praha), Doc. MUDr. I. Dřízhal (Stomatologická klinika Hradec Králové)









Používané přístroje, technologie

Pa-On
Periometr - první plně automatizovaný přístroj pro zjištění periodontálního statusu pacienta - diagnózy, léčby a profylaxe parodontitidy a dalších onemocnění. Díky správnému určení periodontálnímu statusu pacienta lze včas odhalit a minimalizovat objevující se obtíže.
Používá se i v implantologii, při stanovení diagnózy a léčby periimplantitidy (zánětu měkkých tkání a kosti v okolí implantátu).


       




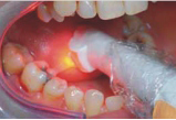
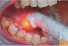
FotoSan 360 
Přístroj na principu světlem aktivovaná desinfekce neboli fotodynamická antimikrobiální chemoterapie. Přístroj s okamžitým účinkem ničí veškeré mikroorganismy bez jakýchkoli vedlejších účinků. Jedná se o bezbolestné ošetření, které nevyžaduje anestezii, nemá vedlejší účinky a ničí 99% bakterií. Používá se především v parodontologii a implantologii při léčbě zánětů v okolí zubů a implantátů (dezinfekce tzv. chobotů), záchovné stomatologii (ošetření kazů) i endodoncii (dezinfekce kanálků zubu).


     

     

     

  

Pokračovat na Dentální hygiena
Pokračovat na Záchovná stomatologie
Pokračovat na Protetika
Pokračovat na Protetika na implantáty
Pokračovat na Estetická stomatologie
Pokračovat na Implantologie
Pokračovat na Abeceda implantologie
Pokračovat na Bezbolestná anestézie