Augmentační postupy jsou zákroky minimálně invazivní až po náročnější operace upravující nedostatečnou nabídku alveolární kosti co do kvantity a kvality.
Tyto postupy nám umožní doplnit chybějící množství kosti v čelistech pacienta i zlepšit kvalitu kosti. Většinou se setkáváme s omezenou nabídkou kostní tkáně díky resorpčním (úbytkovým) procesům způsobených věkem či vytržením zubu, přítomností anatomických struktur jako je čelistní dutina, nervový kanál nebo patologických či poúrazových stavů - cysty, zlomeniny.
V těchto případech musíme použít některou z následujících pomocných metod:
použití umělého kostního granulátu
zahušťování kosti a její roztahování pomocí speciálních nástrojů spreading, kondenzace, distrakce
- Postupné nasazování nástrojů se zvětšujícím se průměrem vede k rozšiřování a zahušťování kosti
použití vlastí kosti nebo kostních štěpů - Transfer Set BEGO
Sonic Weld Rx
Novinkou v augmentačních metodách, kterou jako první v České republice používáme v našem zařízení je ultrazvuková metoda pomocí polylaktidové membrány - SonicWeld Rx®, kterou zavedl do implantologie v roce 2009 Dr. Dr. G.Iglhaut (Memmingen, Německo).
Jedná se o augmentační metodu při dostavbách kosti a defektech kosti horní a dolní čelisti.
Více - Používané přístroje, technologie, materiály
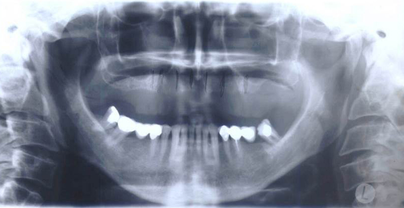
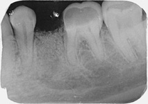
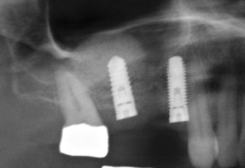
Sinus lift
Nejčastější oblastí pro doplnění kosti je čeleni dutina horní čelisti.
Tento výkon se nazývá sinus lift - aplikace kostního granulátu do čelistní dutiny
Při ztrátě molárů a premolárů v horní čelisti a jejich náhradě implantáty se často setkáváme s nedostatečnou
vertikální nabídkou kosti pod čelistní dutinou, často doprovázenou i nedostatečnou horizontální nabídkou a sníženou kvalitou kosti (v oblasti 2. premoláru v 50%, v oblasti moláru až v 80% případů nedostatečná kostní nabídka)
Od roku 1985 je tento problém řešen augmentační operací nazývanou
sinus lift.
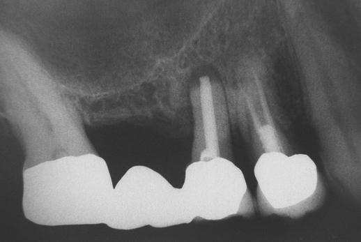
Jedná se o vyzvednutí membrány, která čelistní dutinu vystýlá, pod vyzvednutou membránou vznikne kapsa, kam se umístí augmentační materiál, do kterého se zavedou implantáty.
Vhojení implantátů se při této operaci prodlužuje na 6-12 měsíců.
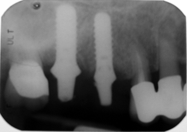
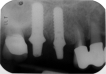
Nejlepším materiálem pro augmentace je vlastní kost pacient, kterou můžeme získat
např. odběrem z dolní čelisti pacienta. Jedná se o velmi šetrný, nenáročný výkon, který pacienta nijak nezatíží.
Kostní biomateriály BEGO
Pokud je potřeba většího množství kosti na doplnění, poskytujeme našim pacientům nejkvalitnější náhradní kostní materiály přírodní i syntetické od firmy BEGO.
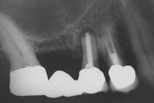
K překrytí, doplněné kosti, se používají různé typy kolagenních membrán nebo kortikálních lamin
OsteoBiol - Kortikální lamina
Nový typ kortikální laminy (OsteoBiol) slouží k překrytí augmentačního materiálu při rozsáhlých 3D augmentacích a u velkých kostních defektů. Jedná se o bovinní typ kortikální kosti.
SonicWeld Rx
Novinkou v augmentačních metodách, kterou jako první v České republice používáme v našem zařízení je ultrazvuková metoda pomocí polylaktidové membrány - SonicWeld Rx®, kterou zavedl do implantologie v roce 2009 Dr. Dr. G.Iglhaut (Memmingen, Německo).
LAS Kit
Souprava pro laterální přístup k sinus liftu, speciálně navržena pro bezpečný a méně invazivní laterální přístup k nadzdvihnutí membrány sinu. LAS Kit nabízí v závislosti na anatomii dutiny ústní a plánech operace různé využití.
CAS Kit
Souprava pro krestální přístup k operaci sinus liftu tím, že se vytvoří v kosti kónický odštěpek, kterým lze membránu bezpečně nadzvednout.
Osmotický hydrogelový expander měkkých tkání
Velmi často je pro zavedení implantátu vzhledem k nedostatku kosti provést její doplnění tzv. augmentaci. Naše zařízení je zaměřené na doplnění nedostatečného množství kosti a používá celou řadu moderních postupů metod a matriálů. Velký význam pro úspěšné doplnění kosti hraje i dostatečné množství měkkých tkání – sliznice, která musí dodané množství kosti dokonale překrýt a nesmí ani tlakem způsobit jeho resorpci.
Jednou z nejmodernějších a velice šetrnou metodou pro získání dostatečného množství měkkých tkání je použití
osmotického hydrogelového expanderu.