
Protetika na implantáty se vyznačuje některými specifickými odlišnostmi,
oproti zhotovování náhrad na vlastní zuby, již při zhotovení otisků, modelů,
modelaci korunek a můstků i vlastní fixaci (připevnění) náhrad.
Možné příklady ošetření pomocí implantátů:
- Náhrada jednoho zubu
- Velká mezera
- Částečně ozubená čelist
- Bezzubá čelist
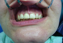
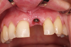
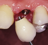
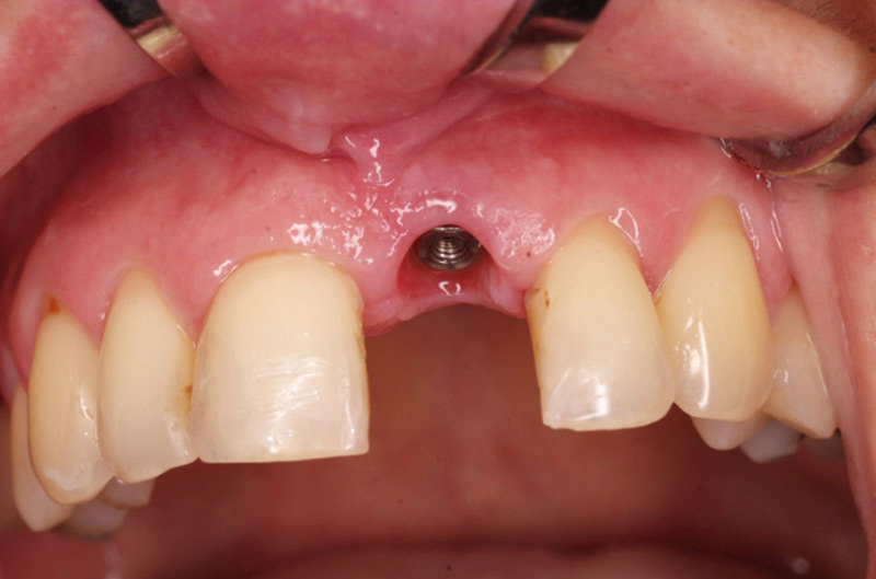
Klasickým příkladem a indikací pro použití implantátu je ztráta jednoho zubu (v tomto případě v předním – frontálním úseku) v jinak zdravém, nepoškozeném chrupu.
Nejčastější příčinou takové ztráty je sportovní nebo dopravní úraz.
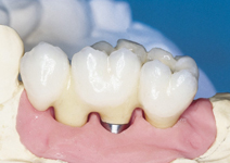
Náhrada jednoho zubu pomocí implantátu je možná také v postranním úseku chrupu. Při ztrátě většího počtu zubů ve frontálním nebo postranním úseku může být mezer uzavřena větším počtem jednotlivých implantátů.
Při ošetření pomocí jednotlivých implantátů zůstávají sousední zuby neporušené – intaktní. Při klasickém ošetření pomocí můstků musejí být tyto zuby obroušeny!
> zpět k možným příkladům ošetření
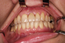
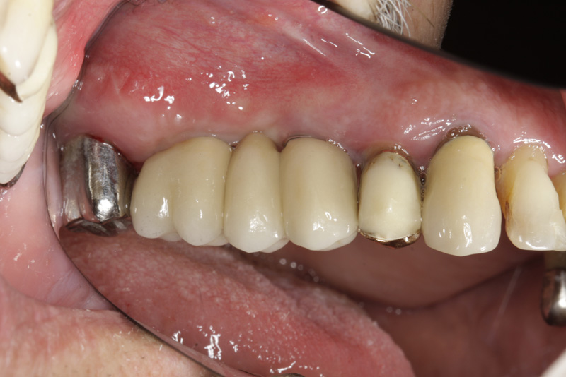
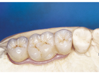
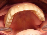
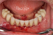
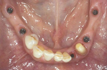
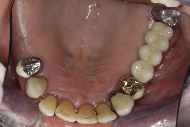
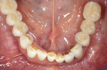
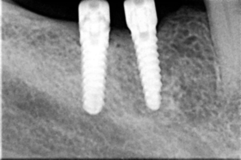
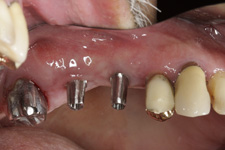
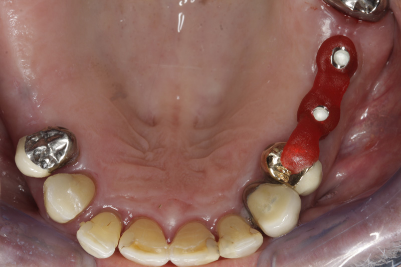
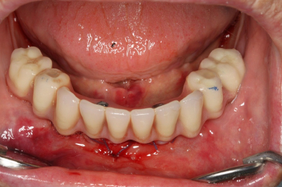
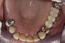
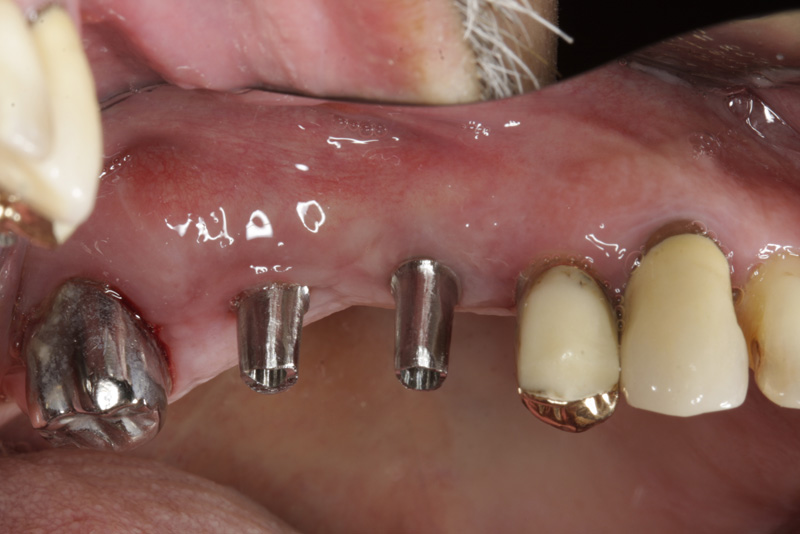
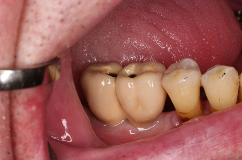
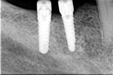
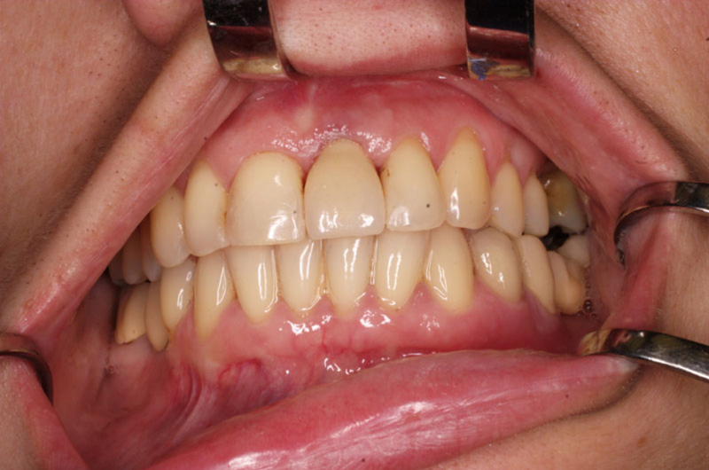
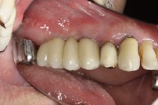
V případě chybění většího počtu zubů v postranních úsecích čelistí je možné ošetření pomocí implantátů, které nahradí ošetření pomocí snímacích náhrad kotvených na zbývajících zubech nebo patře.
Podmínkou je opět dostatečné množství kosti.
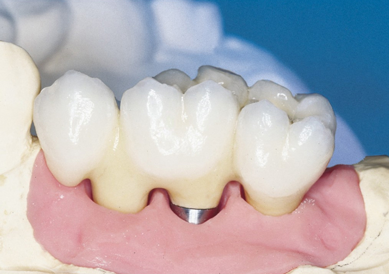
Protetické řešení může být pomocí můstku, který je kotvený na implantátech nebo pomocí jednotlivých korunek na implantátech.
V zásadě je možné do těchto můstků zařadit i přirozené zuby, zejména pokud je potřeba tyto zuby ošetřit proteticky
- korunkami. Korunky nebo můstky mohou být na implantáty nacementovány nebo přišroubovány.
Zdravé zuby zůstanou zachovány a přitom náhrady jsou pevné, jako na vlastních zubech
> zpět k možným příkladům ošetření
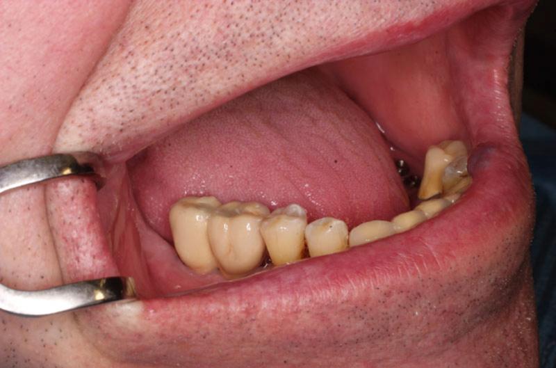
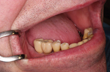
Během let může postupnou ztrátou zubů zůstat v ústech omezený počet zubů, které umožňují držení zubních náhrad.
V důsledku přetížení zbylých zubů např. houpavými pohyb snímacích náhrad dochází k uvolnění těchto zubů a držení můstků a protéz je tak velmi těžké. V těchto případech můžeme pomocí implantátů zvýšit počet pilířů a tím zabránit přetěžování a ztrátě zbylých zubů
> zpět k možným příkladům ošetření
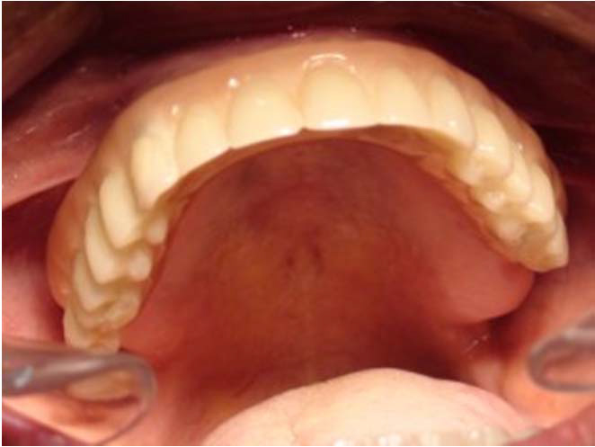
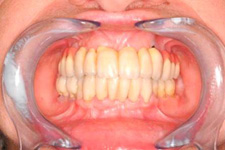
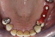
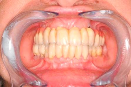
Bezzubá čelist je hlavní indikací pro ošetření pomocí implantátů. Zejména celkové zubní náhrady v dolní čelisti mají velice nízkou stabilitu a držení díky velkému úbytku kosti.
S pomocí zubních implantátů můžeme díky různým kotevním systémům (třmeny, kulové hlavy, Locatory) zajistit stabilitu a držení protézy nebo při použití většího počtu implantátů zhotovit pevné náhrady – můstky nalepené nebo našroubované na pevno na implantáty.
S těmito typy náhrad můžeme dosáhnout perfektní funkci, výbornou estetiku, fonetiku a současně zajistit u pacienta možnost dobré hygienickou péče a čištění, která je pro životnost implantátů velice důležitá.
> zpět k možným příkladům ošetření
Pokračovat na Implantologie
Pokračovat na Abeceda Implantologie
Pokračovat na Estetická stomatologie
Pokračovat na Dentální hygiena
Pokračovat na Diagnostika a plánování