Všechny informace zde uvedené slouží pouze pro získání základních informací o zubních implantátech a možnostech ošetření pomocí implantátů. Vzhledem k individuálním situacím u každého pacienta i různým možnostem implantologického ošetření nemohou v žádném případě nahradit konzultaci a radu kvalifikovaného lékaře!
Co je zubní implantát?
Zubní implantáty jsou umělé zubní kořeny.
Jsou zavedeny do kosti horní nebo dolní čelisti a umožňují náhradu jednoho, několika či všech zubů pomocí korunek, můstků, které jsou na ně připevněny nebo tvoří podporu pro zubní protézy.
Vzhledem k různým tvarům, délkám a průměrům implantátů je možné provést různé typy ošetření, které odpovídají Vaší individuální situaci v ústech. Vašim představám i finančním možnostem.
BEGO Semados ® implantáty jsou vyrobeny z čistého titanu - materiálu, který je plně akceptováno v lidském těle, jejichž povrch má speciální úpravu
TiPurePlus pro bezpečnější, rychlejší a kvalitnější hojení.
Zubní implantáty nabízejí individuální komfortní řešení Vašich problémů v oblasti zubního zdraví a otevírají Vám cestu ke zlepšení a zkvalitnění Vašeho zubního zdraví. Jsou ideální alternativním řešením oproti konvenčním a stávajícím možnostem ošetření pomocí můstků na obroušených zubech či pomocí snímacích náhrad.
Průběh lečby pomocí implantátů:

• Dokonalé vyšetření, stanovení diagnózy,naplánování ošetření - způsob, časový průběh,cena
• Zavedení implantátu do kosti čelisti
• Zahojení do kosti – 3-4měsíce(v některých případech i déle – doplňování kosti)
• Otisk situace v ústech a vytvoření modelu v laboratoři
• Zkouška zubní náhrady
• Předání definitivní náhrady
Proč a k čemu jsou zubní implantáty?
...je to nejlepší způsob léčby Vašeho problému se zuby?

Neexistuje nic lepšího než Vaše vlastní zuby!
Existují dva základní způsoby, jak je možné nahradit Vaše chybějící zuby. Klasické možnosti spočívají v obroušení Vašich zubů a zhotovení korunek a můstků nebo v použití snímacích náhrad. Nevýhody těchto způsobů ošetření jsou patrné a dobře známé – nutnost obroušení zdravých zubů, ohrožení životnosti zubů při obroušení, špatné držení snímacích náhrad, problémy s dávivým reflexem, snížené vnímání chuti, tlakový úbytek kosti pod snímacími náhradami atd.
Implantáty jsou osvědčeným a vyzkoušeným řešením, které dnes umožňuje zhotovení estetické a funkční náhrady.
Výhody zubních implantátů v přehledu:
• Zdravé zuby se nemusí brousit
• Zubní náhrady – korunky, můstky a protézy jsou pevně usazeny v ústech
• Dokonalé obnovení funkce a estetiky
• Zmenšení úbytku kostí, ke kterému dochází po ztrátě zubů a tlakem snímacích náhrad
• Rozšíření možností protetického ošetření,
• Možnost mluvení, kousání a vnímání chuti jako u vlastních zubů
• Zlepšení kvality života na mnoho let
Podmínky pro použití implantátů?
Základní podmínkou pro ošetření pomocí implantátů je dostatečné množství zdravé, kvalitní kosti v čelistech. Dalším důležitým předpokladem je dokonalá ústní hygiena. Také celkový zdravotní stav pacienta hraje významnou roli. Některá systémová onemocnění, jako je diabetes, hypertenze, onemocnění žláz s vnitřní sekrecí, užívání některých skupin léků apod. mohou v některých případech ovlivnit úspěšnost implantace. Také nadměrné kouření či užívání alkoholu nebo jiných návykových látek mohou způsobit komplikace při ošetření pomocí implantátů. Vždy je nutné o těchto záležitostech informovat svého zubního lékaře!
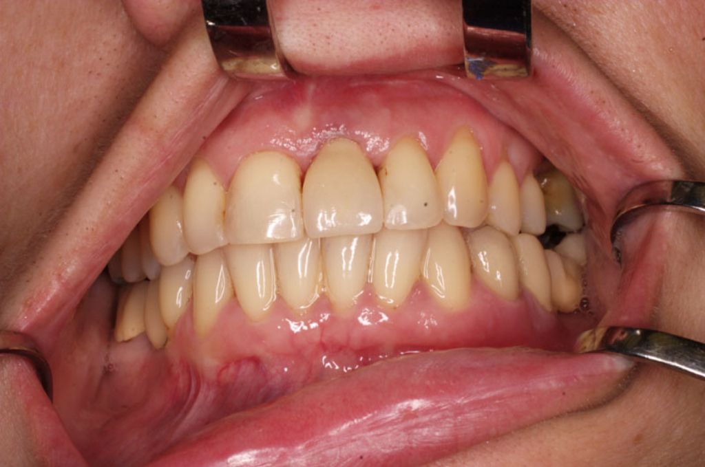
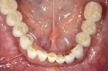
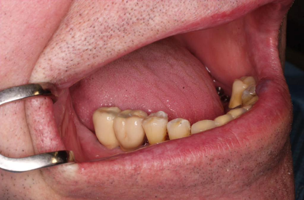
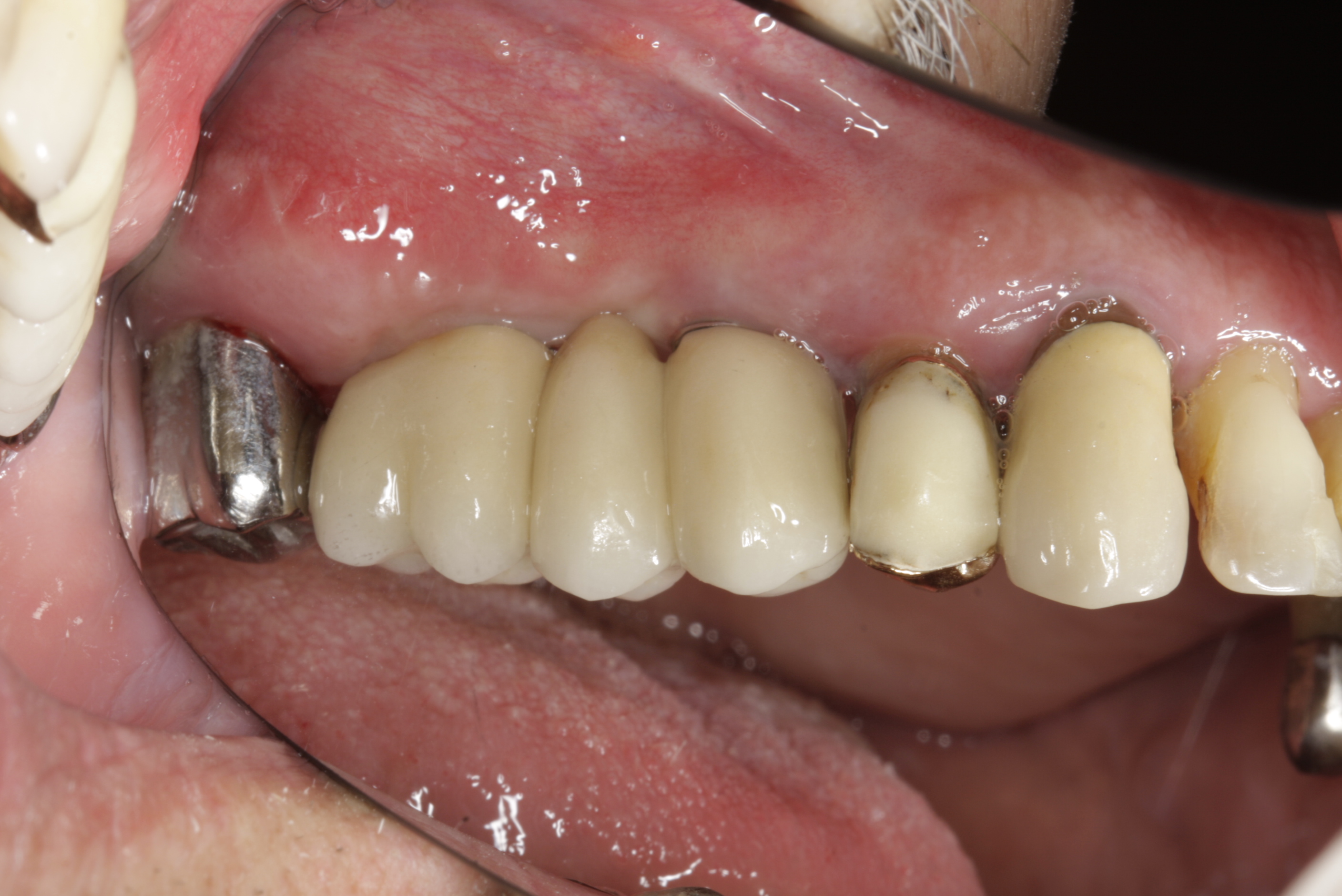
Protetika na implantáty
Možné příklady ošetření pomocí implantátů:
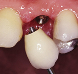
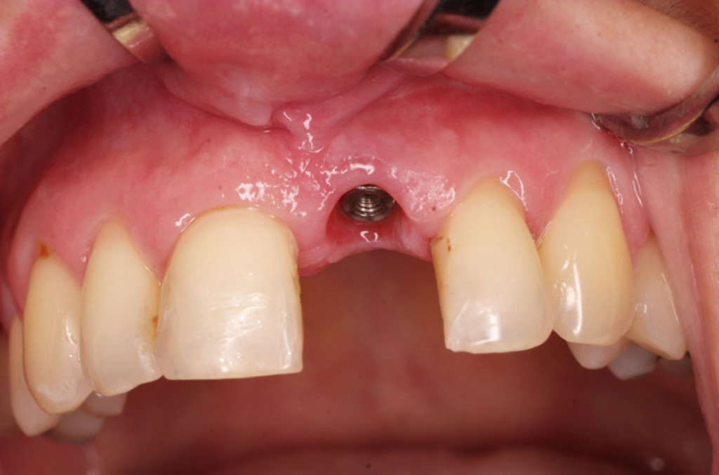
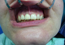
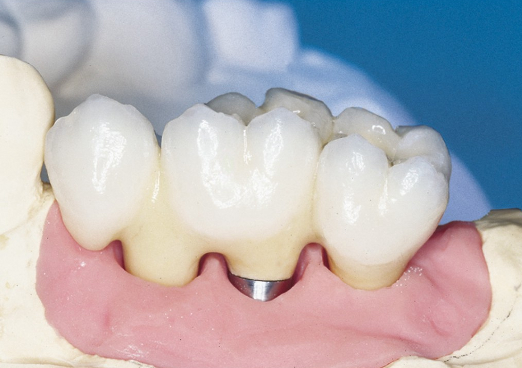
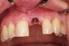
Náhrada jednoho zubu
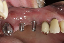
Velká mezera
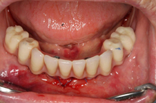
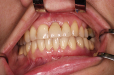
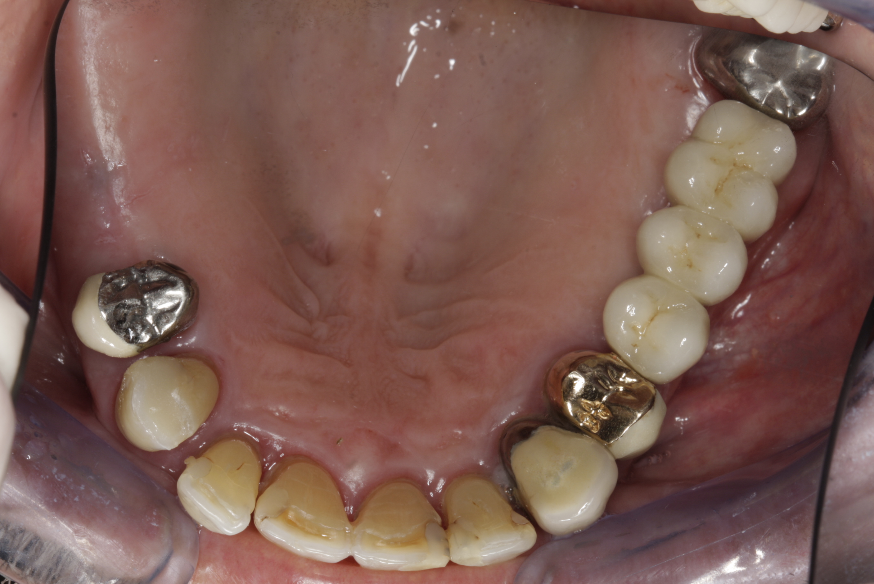
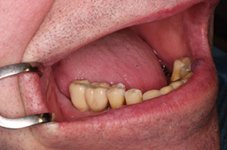
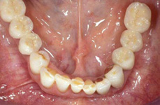
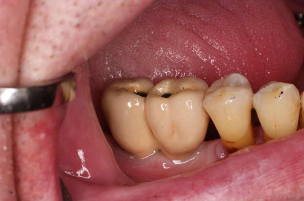
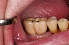
Částečně ozubená čelist
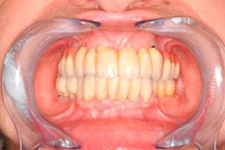
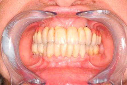
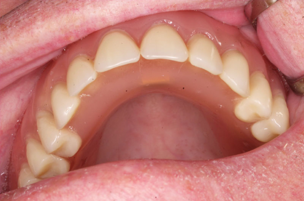
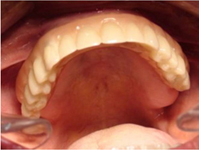
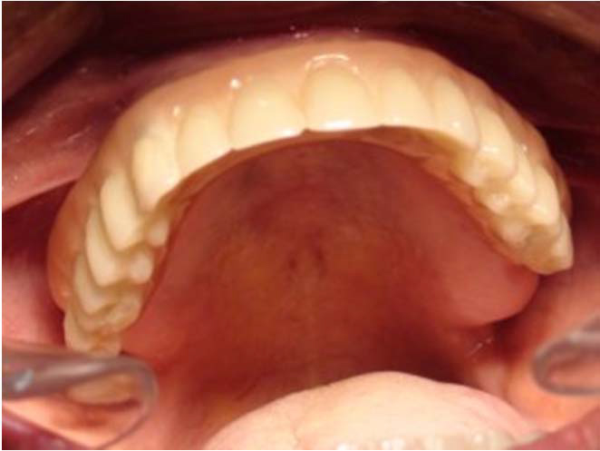
Bezzubá čelist
Klasickým příkladem a indikací pro použití implantátu je ztráta jednoho zubu (v tomto případě v předním – frontálním úseku) v jinak zdravém, nepoškozeném chrupu.
Nejčastější příčinou takové ztráty je sportovní nebo dopravní úraz.
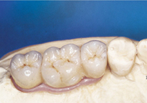
Náhrada jednoho zubu pomocí implantátu je možná také v postranním úseku chrupu. Při ztrátě většího počtu zubů ve frontálním nebo postranním úseku může být mezer uzavřena větším počtem jednotlivých implantátů.
Při ošetření pomocí jednotlivých implantátů zůstávají sousední zuby neporušené – intaktní. Při klasickém ošetření pomocí můstků musejí být tyto zuby obroušeny!
> zpět k možným příkladům ošetření
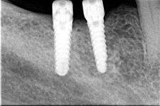
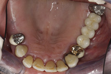
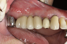
V případě chybění většího počtu zubů v postranních úsecích čelistí je možné ošetření pomocí implantátů, které nahradí ošetření pomocí snímacích náhrad kotvených na zbývajících zubech nebo patře.
Podmínkou je opět dostatečné množství kosti.
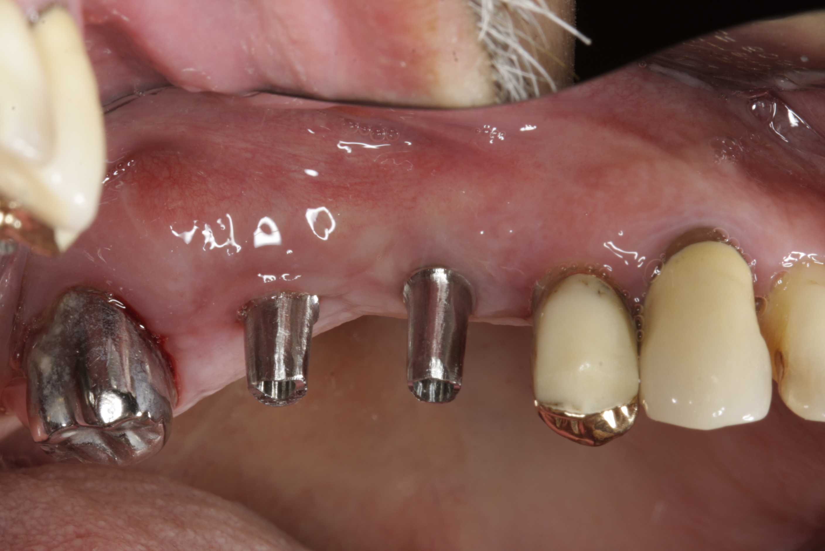
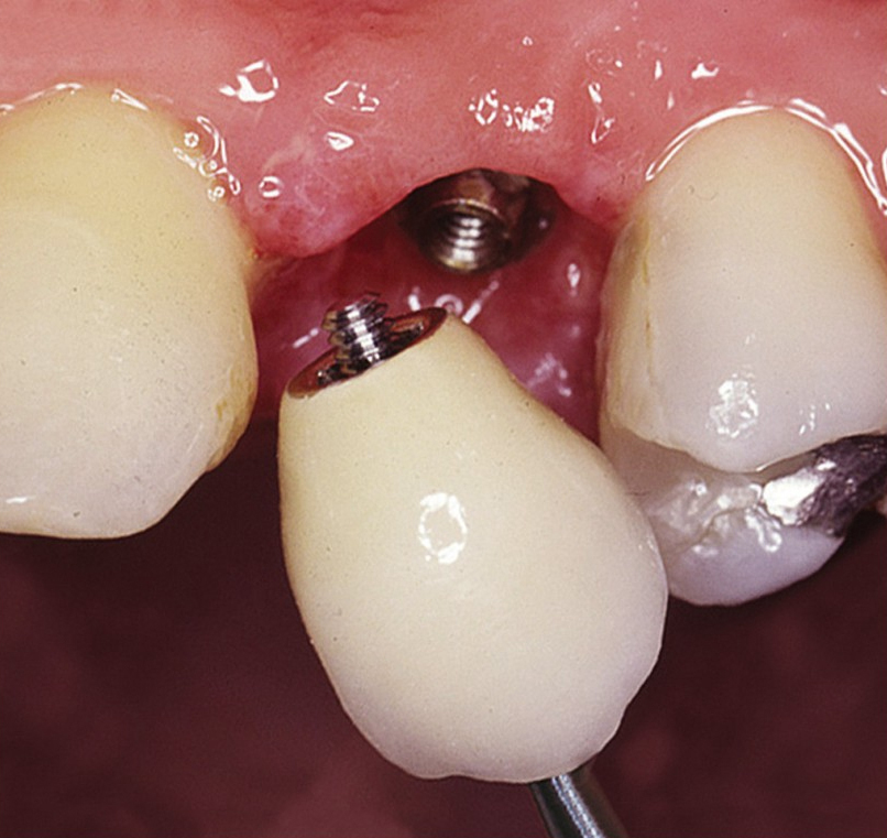
Protetické řešení může být pomocí můstku, který je kotvený na implantátech nebo pomocí jednotlivých korunek na implantátech.
V zásadě je možné do těchto můstků zařadit i přirozené zuby, zejména pokud je potřeba tyto zuby ošetřit proteticky – korunkami. Korunky nebo můstky mohou být na implantáty nacementovány nebo přišroubovány.
Zdravé zuby zůstanou zachovány a přitom náhrady jsou pevné, jako na vlastních zubech
> zpět k možným příkladům ošetření
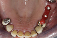
Během let může postupnou ztrátou zubů zůstat v ústech omezený počet zubů, které umožňují držení zubních náhrad.
V důsledku přetížení zbylých zubů např. houpavými pohyb snímacích náhrad dochází k uvolnění těchto zubů a držení můstků a protéz je tak velmi těžké. V těchto případech můžeme pomocí implantátů zvýšit počet pilířů a tím zabránit přetěžování a ztrátě zbylých zubů
> zpět k možným příkladům ošetření
Bezzubá čelist
Pevné můstky – lepené nebo šroubované

Třmeny
Kulové attachmenty


Sub-Tec Locator®
Metoda All-on-four

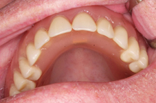
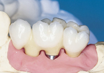
Bezzubá čelist je hlavní indikací pro ošetření pomocí implantátů. Zejména celkové zubní náhrady v dolní čelisti mají velice nízkou stabilitu a držení díky velkému úbytku kosti.
S pomocí zubních implantátů můžeme díky různým kotevním systémům (třmeny, kulové hlavy, Locatory) zajistit stabilitu a držení protézy nebo při použití většího počtu implantátů zhotovit pevné náhrady – můstky nalepené nebo našroubované na pevno na implantáty.
S těmito typy náhrad můžeme dosáhnout perfektní funkci, výbornou estetiku, fonetiku a současně zajistit u pacienta možnost dobré hygienickou péče a čištění, která je pro životnost implantátů velice důležitá.
> zpět k možným příkladům ošetření
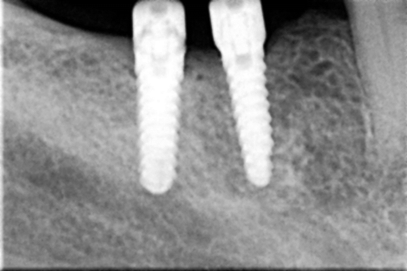
Implantace
Na implantologickém ošetření se podílí celý tým: lékař implantolog – zubní technik – dentální hygienistka – asistentka, kteří v případě potřeby spolupracují s dalšími odborníky: praktický zubní lékař (se svým týmem) – parodontolog – ortodont – obvodní lékař - internista – kardiolog – hematolog…
Zavedení implantátů do kosti je většinou ambulantní chirurgický výkon, srovnatelný s vytržením zubu a většinou se provádí v lokální anestézii. Ve výjimečných případech je možné použít i analgosedaci či celkovou narkózu. Operaci provádí zubní lékař-implantolog při dodržení všech podmínek sterility pro operaci. Nástroje pro tuto operaci jsou konstruovány tak, aby výkon byl šetrný vůči kosti a zavedení implantátu bylo provedeno ve velmi krátké době. Díky kvalitní anestézii je výkon nebolestivý. Aby byl pooperační otok co nejmenší, je potřeba operovanou oblast chladit, dle poučení ošetřujícího lékaře. Lékař také ordinuje podle potřeby léky na bolest, případně antibiotika.
Podle plánu může být pacient ošetřen po dobu vhojování implantátů předem domluvenou a zhotovenou provizorní náhradou.
Průměrná doba hojení implantátů před provedením definitivního protetického ošetření je 3-4 měsíce, v případech, kde je nutné doplnit chybějící kost (různé metody, postupy a materiály) – tzv. augmentace) se může doba hojení prodloužit na 8-12 měsíců. S tím je pacient vždy předem seznámen svým lékařem.
Pokračovat na Bezbolestná anestézie
Pokračovat na Anestézie
Jaká je „životnost“ implantátů?
Správná péče a pravidelné kontroly jsou velmi důležité pro dlouhodobé udržení implantátů a tím i náhrad, které jsou těmito implantáty neseny.
Již ve fázi konzultace a plánování je pacient informován o nutnosti dokonalé dentální hygieny o pravidelných kontrolách.
Dnešní studie a vědecké analýzy prokazují, že průměrná délka „životnosti“ implantátů může být více 10-15 let.
Pokračovat na Dentální hygiena
Jaká je cena ošetření pomocí implantátů?
Náklady na ošetření pomocí implantátů mohou být rozlišné podle počtu použitých implantátů i podle typu náhrady zubů. Záleží i na kvalitě použitého implantačního systému.
Ošetření BEGO Implantáty je estetické, vysoce kvalitní a spolehlivé, a při tom cenově dostupné ošetření pro všechny.
V každém případě je nutné, aby byl pacient před zahájením vlastního ošetření seznámen nejen se všemi možnostmi, problematikou i riziky, s časovým průběhem, ale i s cenou ošetření pomocí implantátů.
Pokračovat na Diagnostika a Plánování ošetření
Pokračovat na Protetika na implantáty
Pokračovat na Estetická stomatologie
Pokračovat na Dentální hygiena